インプラント
理事長より
歯を失われた方へ
メッセージ
抜歯即時埋入法によるインプラント治療では、抜歯当日に仮歯を入れることも可能ですが、骨とインプラント体が結合するまでには数週間かかります。その間は硬い食べ物に注意しつつ、治療後はタンパク質を含む食材をしっかり噛んで取るように心がけてください。インプラント治療によって見込める自然な噛み心地を従来の治療よりも短い期間でめざす抜歯即時埋入法は、オーラルフレイルから始まる悪循環を予防するのにも有用だと考えています。もし、私自身が歯を失うことがあれば、抜歯即時埋入法での治療を希望すると思います。皆さんにも安心して治療のご相談をしていただければと思いますし、治療の選択肢の一つとして知っていただきたいですね。
「患者様に優しい
4Sコンセプト」を基本とした
インプラント治療
4SコンセプトとはShort (短期間治療)、Simple (シンプル)、Small (最小限)、Safe (安全) を基本とした、
4つの「S」からなる患者目線のやさしいインプラント治療のことを言います。
- Short(短期間治療)
- Simple(シンプル)
- Small(なるべく小さな外科処置)
- Safe(安全)
当院では、患者様に優しい4Sコンセプトを基本とした抜歯即時埋入のインプラント治療を行なっています。
質の高いインプラント治療
「抜歯後即時埋入・抜歯後早期埋入」
当院では、従来の方法の欠点を補うため、主に「抜歯後即時埋入」や「抜歯後早期埋入」という術式でインプラント治療をおこなっております。
- 抜歯後即時埋入:
抜歯と同時に
インプラントを埋入する方法 - 抜歯後早期埋入:
抜歯後1カ月ほどで
インプラントを埋入する方法
従来の一般的なインプラント治療では、歯を抜いた後、骨ができるまで3~6ヶ月待ってからインプラントを埋入するため、その間に骨が吸収を起こしてしまい、インプラントを埋入する時には、多くの場合、小さくなった顎に骨を造成する大掛かりな手術(GBR などの骨造成手術)が必要となります。このような治療では、手術後の腫れ・痛みが出やすいだけでなく、治療期間も長くなり (7ヶ月~1年以上) 、治療費も高くなってしまいます。
対して当院でおこなう術式では、抜歯後の顎骨の吸収が起こる前に、吸収を抑えながらインプラントの埋入が可能です。抜歯後即時埋入治療は、抜歯と同時にインプラント埋入をおこない、2カ月程度が経ったら被せ物の歯を取り付けます。
早くて3カ月ほどで歯が出来上がり、短期間での質の高いインプラント治療が可能です。抜歯後に骨の吸収が起こる前にインプラントを埋入できるため、顎の骨が痩せることによる再治療の必要性もなくなります。
即時荷重インプラントの
メリット・デメリット
メリット
- 治療期間が最短1カ月半ほどで短い
- 治療回数を最低1回でおこなえるため、患者様への負担が少ない
- 複雑な治療をおこなわないため、
傷口の回復が早い
デメリット
- インプラントを埋入する手術日の
治療時間が長い - すべての患者様に
適用できる治療法ではない
即時荷重インプラントは、すべての患者様に適用できる治療法ではございません。
治療を受ける前に、以下の即時荷重インプラントができる条件に該当するか確認が必要です。
即時荷重インプラントができる条件
- インプラントを埋入する
骨の厚みが十分にある - 周囲の歯に虫歯や歯周病がない
- インプラントを埋入する骨に
欠損などがない
当院では患者様の口腔内の状態を確認のうえ判断いたしますので、即時荷重インプラントをご希望の方は、ぜひカウンセリング時にご相談ください。
インプラントとは
インプラントとは、歯を失った場合に、顎の骨に埋め込む人工歯根(インプラント体)とうえに装着する人工歯(上部構造)、それらを連結する支台(アバットメント)の3つの部分からなる人工の歯のことです。インプラント治療をおこなうことで、天然歯のような自然な見た目や「噛む」機能の回復が実現できます。
患者様の負担を大幅に減らす
「ワイド・ショートインプラント」
という選択肢
ワイド・ショートインプラントを用いることで、治療期間を短く、腫れずに治療できます。ワイド・ショートインプラントは、従来使用されるインプラントよりも「幅が広く、長さが短い」のが特徴です。
通常サイナスリフト(骨の再生治療)を実施すると、追加の費用が発生したり数ヶ月単位で治療期間が伸びたり、腫れるリスクもあります。上顎洞までの骨の量が1mmなど、サイナスリフトが必要な場合でも、サイナスリフトをおこなわずに治療が可能です。
ワイド・ショートインプラントが
向いている方の特徴
- 顎の骨の量や幅、
密度が不足している方 - 上顎の上顎洞や下顎の下歯槽管
までの距離が短い方 - 骨造成手術を避けたい、
または骨造成が難しい方 - 手術の腫れ・痛み・合併症などの
リスクを減らしたい方 - 短期間治療を希望する方
- 高齢や全身状態などで
外科処置が極めて難しい方
「オールオン4・オールオン6」の
セカンドオピニオンなら
大宮いしはた歯科
当院では、オールオン4・オールオン6のセカンドオピニオンもおこなっております。
オールオン4
片顎に4本のインプラントを埋め込み、最大8本分の人工歯を固定する治療法
オールオン6
片顎に6本のインプラントを埋め込み、最大12本分の人工歯を固定する治療法
他院での治療説明に
納得がいかなかった方へ
もし他院で「上顎洞までの距離が2.3mmしかなく、サイナスリフトが必要」「歯が入るまで1年以上かかる」と言われたことのある場合、当院では、抜歯後即時埋入(抜歯と同時にインプラントを埋入)をおこなうことで「3〜4カ月」を目安に歯を入れられます。
オールオン6にすると、より強固で安定した噛み心地と自然な見た目の実現が可能です。一方オールオン4は、手術の負担や費用を抑えられますが、噛み合わせの安定性や長期的な耐久性ではオールオン6に劣る場合があります。
どちらの治療法を選択するかは、患者様の口腔内の状態やご希望に応じて、歯科医師と十分に相談するのが重要です。
「低侵襲・短期間でしっかり噛める」
を最優先に考えた
インプラント治療
当院では、「できるだけ身体への負担を少なく、短期間でしっかり噛めるようにすること」を最重要と考えた、現代的なインプラント治療を提供しています。
従来のインプラント治療では、骨の厚みが不足している場合にサイナスリフトという骨造成手術を行い、治療期間が1年以上に及ぶこともありました。
しかし当院では、エクストラワイドショートインプラントという最新の技術を用いることで、サイナスリフトを行わずに、3〜4ヶ月という短期間で治療を完了できるケースも多くあります。
これは、単に治療を早く終わらせるということだけでなく、
手術の回数や腫れ・痛みの軽減、治療中の生活負担の少なさにも大きく貢献します。
「他院で1年以上かかると言われた」「骨が少ないので治療は難しいと言われた」という方も、
まずはお気軽にご相談ください。
患者さま一人ひとりの状態に合わせた、低侵襲かつ合理的な治療プランをご提案いたします。
ご予約・ご相談は
お気軽に!
ご予約はWEBまたは
お電話にて承っております。
WEB予約が埋まっていても、
当日受診可能な場合が
ございますので、
お電話ください。
当院のインプラント治療が
選ばれる4つの理由
年間治療数500本越えの実績
当院はグループ医院含め、年間500本以上のインプラントを行っております。
他院で断られたケースも対応可能な場合がありますので、まずは一度ご相談にいらしてください。
ストローマンインストラクター、
ITIスペシャリストなどが在籍
当院長のほかに、「ストローマンインストラクター」や「ITIスペシャリスト」、「日本補綴歯科学会の指導医(インプラント、入れ歯、ブリッジを含めた補綴治療の指導医)」などが在籍しております。複数のインプラント治療の臨床実績が豊富な歯科医師が在籍しているため、深い知見からインプラント治療の提供が可能です。
総勢66名による
大学病院レベルの診療体制
- 歯科医師:
常勤8名、非常勤7名 - 歯科衛生士:
常勤20名、非常勤1名、休:1名 - 歯科助手:
常勤17名、非常勤1名、休:1名 - 歯科技工士:
常勤2名
10年保証のストローマン社製の
インプラントを使用
当院が使用するインプラントは、世界No.1シェアを誇るスイスの「10年保証のストローマン社製のみ」です。もし引っ越し先や旅行先などでメンテナンスが必要になった場合でも、もっとも普及し実績のあるインプラントメーカーであれば、ほかの歯科医院でメンテナンスできる確率が上がります。
ストローマンインプラントは、国内のメジャーな大学病院でも使用されており、臨床実績も豊富だからこそ、数多くの歯科医師から厚い信頼を寄せています。
ご予約・ご相談は
お気軽に!
ご予約はWEBまたは
お電話にて承っております。
WEB予約が埋まっていても、
当日受診可能な場合が
ございますので、
お電話ください。
インプラント・入れ歯・
ブリッジの違い
| 項目 | インプラント | 入れ歯 | ブリッジ |
|---|---|---|---|
| 保険適用 | なし ※適用条件あり |
あり | あり |
| 治療方法 | 失った歯の位置にインプラント(人工の歯根)を埋め込み、義歯を取り付ける。 | 失った歯の部分に、人工の歯を人工樹脂で連結させる。 | 失った歯の隣接歯を削り、失った歯とその隣接歯を連結した被せ物をはめる |
| メリット | ・審美性が天然歯に近い ・周囲の歯を傷つけない ・噛む力が天然歯とほぼ同じにできる ・ほかの歯との噛み合わせが安定する |
・複数本の歯を失った場合でも対応できる ・バリエーションが豊富にある ・保険適用されるため安価で治療ができる |
・入れ歯と比べると、安定感があり違和感が少ない ・保険が適用されるため安価で治療ができる ・治療期間が短い |
| デメリット | ・外科手術が必要である ・骨組織によっては治療期間が長くなる ・保険が適用されないため治療が高価になる ・治療ができない場合もある |
・固定する留め金に汚れがたまりやすい ・天然歯の寿命を縮める場合がある ・審美性に欠ける ・食べ物の熱が伝わりにくい ・固いものが食べづらい |
・歯を削る必要がある ・自然歯の寿命が短くなる場合がある ・発音に影響がでる場合がある ・食べかすがつまり不衛生になりやすい |
| 寿命 | 10〜30年 程度 |
3〜4年 周期 |
5〜10年 周期 |
| 治療期間 | 3〜6カ月 | 1〜3カ月 | 1カ月未満 |
カウンセリングの流れ
-

-
来院
ご予約日に来院していただき、問診表の記入をお願いします。
現在の体調や服用している薬などがございましたら、治療に必要な情報として事前にお伝えください。
-
ドクターによるカウンセリング
現在のお悩みをお伺いし、患者様の症例に対する最適な治療方法をご提案いたします。
カウンセリングの際は、個別に現在の症状や原因、治療方法・治療日数などを分かりやすくご説明いたします。
-
お見積書の作成
ご提案した治療法のお見積書を作成し、お渡し致します。

-
治療日の予約
カウンセリングを受けたとしても、必ずしも治療を受ける必要はございません。
治療方法と治療費用にご納得いただけましたら、ご予約へお進みください。
インプラント治療の流れ
- 口腔内検査 レントゲン撮影や歯型採取によって、歯や歯茎、顎の骨などの状態を検査します。 治療方法には、失われた歯の本数、骨の硬さや大きさなどによって複数の選択肢があるため、検査結果をもとに最終的な治療計画を立てます。
- 手術前の処置治療 検査の段階で虫歯や歯周病が見つかった場合は、手術前に処置治療が必要です。 重度の虫歯があると、抜歯をおこなう場合もあります。抜歯をした患部が治癒されてからインプラント治療をおこなうケースもあります。
- インプラント埋め込み インプラントの埋め込み手術をおこないます。手術時は局所麻酔(部分麻酔)を使用し、痛みをほとんど感じないためご安心ください。
- 結合治癒期間 結合治癒期間中は、インプラントを埋入させた状態で歯茎を縫い合わせて、結合治癒を待ちます。
2〜3カ月の結合治癒期間を設けることで、インプラントと骨が強い力で結合されます。手術後の数日間は、抗生剤や炎症を抑える薬を服用いただきます。 - 補綴物(人工歯)の作成・装着 インプラントに被せる義歯を作成して、装着します。
- 術後のケアと定期健診 治療後は、ご自宅でのケアと定期健診で経過観察が必要です。手術後から1週間後に健診をおこない、その後は数ヵ月に1回ほど定期健診を受けていただきます。
インプラント治療の費用
| インプラント 埋入 |
200,000円〜250,000円 |
|---|---|
| 補綴物セット | 200,000円〜250,000円 |
| インプラント 仮歯 |
10,000円 |
| GBR | 150,000円 |
| サイナスリフト | 200,000〜300,000円 |
※価格は全て税抜き表示です。
※基本的に「ガイドデントインプラント10年保証」に入って頂きます。
当院ではインプラントの
無料相談を実施中です。
毎週月曜日、水曜日、金曜日にインプラントを検討している皆様向けに無料相談会を実施します。
相談会では以下のような内容で話を進めていきます。
1. レントゲン撮影、CT撮影
2. 現在の歯、骨の状態をチェック
3. 今後の治療方針のご相談
4. 治療費用のお見積り
以上の内容を無料にて実施しております。
当院ではストローマンSLActiveインプラントを採用しています。
10年保証付きのため、安心して治療を受けていただけます。
他院で治療を断られた方や、セカンドオピニオンをご希望の方も大歓迎です。
お気軽にお申し込みください!
※お申込みの際は
「インプラント無料相談(30分)」
と必ずお申し出をお願い致します。
当院ではストローマンSLActive
インプラントを採用しています。
10年保証付きのため、
安心して治療を受けていただけます。
他院で治療を断られた方や、
セカンドオピニオンをご希望の方も大歓迎です。
お気軽にお申し込みください!
※お申込みの際は
「インプラント無料相談(30分)」
と必ずお申し出をお願い致します。
ご予約・ご相談は
お気軽に!
ご予約はWEBまたは
お電話にて承っております。
WEB予約が埋まっていても、
当日受診可能な場合が
ございますので、
お電話ください。
当院と
ほかの歯科医院を比較
| 項目 | 大宮いしはた 歯科 |
A歯科 医院 |
B歯科 医院 |
|---|---|---|---|
| 治療費 | 200,000 円~ |
250,000 円~ |
99,800 円~ |
| 治療数 (実績) |
年間 500本 以上 |
年間 300本 以上 |
合計 3,000 症例 |
| 保証制度 | あり | あり | あり |
| インプラント 以外の治療 |
可能 | 可能 | 可能 |
| メーカー | ストロー マン社製 |
ストロー マン社製 |
AQB 社製 |
| 最新の 医療設備 |
あり | あり | なし ※従来 |
| 学会認定資格を持った医師の在籍 | ◯ | ◯ | ◯ |
| 休診日 | 木曜・ 日曜・ 祝日 |
毎週金曜・ 祝日・ 年末年始 |
院による |
| セカンド オピニオン |
◯ | ◯ | ◯ |
他院で治療を断られた方も当院では特殊外科が
可能です
当院では、骨の再生を促す治療もおこなっており、骨の薄さなどの理由によって他院で治療を断られた方も、以下の特殊外科が可能です。
骨の再生により、インプラントが可能な場合があるため、ぜひ一度ご相談ください。
骨造成(GBR)
骨造成(GBR)とは、歯槽骨や顎骨などの骨の不足が原因で、インプラントができない方におこなう骨組織の再生を促す治療方法です。GBRは「Guided Bone Regeneration(ガイデッド・ボーン・リジェネレーション)」の略称で、「骨誘導再生法」と呼ばれています。
歯周病の重症化で骨の吸収が進んだり、抜歯で骨が減少したり、歯槽骨を失ってしまうと、インプラントの埋入が困難です。骨が欠損した部分に対して、自分の骨や骨様物質(こつようぶっしつ)、人工の骨補填剤を詰めて、粘膜を閉じて骨芽細胞の増殖を促します。
サイナスリフト
サイナスリフトとは、インプラントの埋入時に上顎の奥歯の骨の量が不足しているとき、上顎洞(じょうがくどう)の底に対して骨補填材や移植骨を埋入して骨再生をおこなう方法です。
歯周病の進行や抜歯後の長期放置などによって、上顎洞が下方に拡大し、インプラントを埋入するのに十分な骨の厚みがなくなる場合があります。主に、骨の厚みが8mm未満の場合や、多くの骨の補填が必要な場合に適応します。
セカンドオピニオンを
ご希望の方も
ぜひ当院へご相談ください
セカンドオピニオンとは、主治医以外の歯科医師に意見を求めることです。当院では、インプラントよりも入れ歯の方がライフステージを考慮して優れていると判断した場合、入れ歯でのご提案をするケースもございます。
たとえば、インプラント治療はセルフケアが不可欠ですが、高齢者のなかにはセルフケアが困難な方もおり、インプラントよりも入れ歯の方が治療後の経過が良い場合もあります。
当院では、インプラントだけでなく、保険適用外の入れ歯についても専門的な知識と幅広い選択肢を提供しており、患者様にとって最適な治療法を総合的に提案できる点が強みです。
治療を受ける前に複数の歯科医師の意見を聞くことで、最適な治療法を見つけ、自分に合った方法で治療を進められます。
口腔インプラント治療指針
| 項目 | ラテラル (側方) アプローチ (サイナスリフト) |
Extra Wide Short インプラント |
|---|---|---|
| 外科的侵襲 | 比較的大きい | 比較的小さい |
| 手術野の明視 | 明視野での手術が可能 | 明視野での手術が可能 |
| 骨、人工骨の量 | 十分な量が必要 まんべんなく填入できる |
人工骨を用いないため 術後合併症のリスクなし |
| インプラント体の洞内迷入 | リスクは低い | 既存骨の高さが低いほどリスクは高い |
| 洞粘膜の穿孔 | 確認できる | 確認できる |
| 穿孔時の修復 | 修復できる | ほぼ修復の必要なし |
| 拳上可能な 高さ |
必要な高さまで可能 | 7mm程度 |
| 既存骨の高さ | 制限なし | 制限なし |
| 治療期間 | 1〜1.5年 | 3〜4ヶ月 |
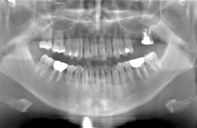
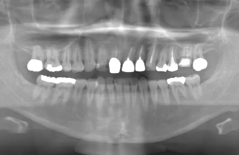
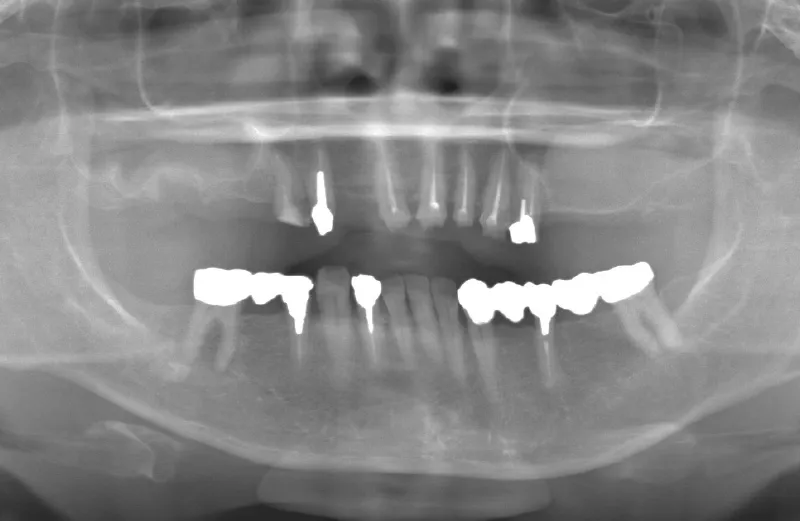
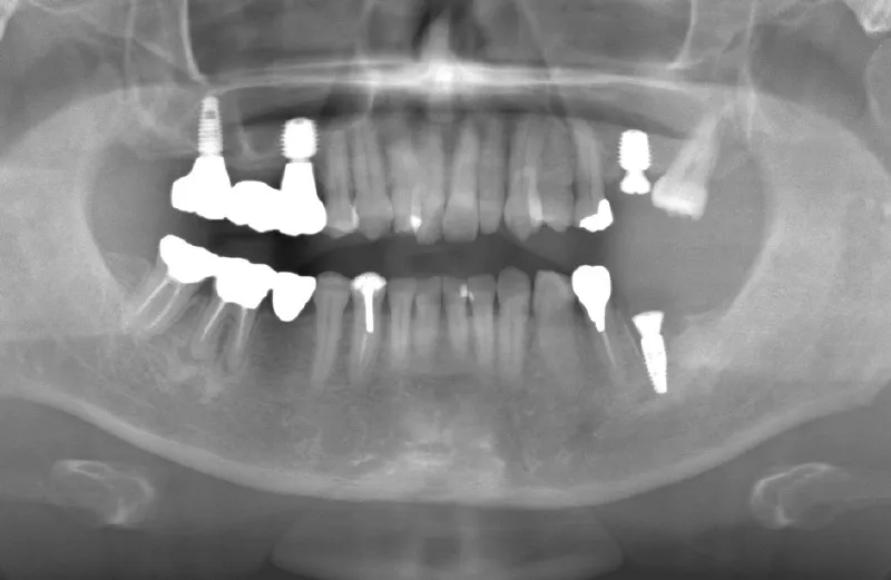
メガジェンオペ症例
メガジェンオペの症例紹介01
治療前
治療後
| 主訴 | 上入れ歯は以前に入れたことがあるが違和感が強く入れられなかったのでインプラントで治療して欲しい。 他院では上顎洞までの垂直骨量が1~3mm程度しかないのでサイナスリフトが必須であり、インプラント治療で歯が入るまでに1年以上かかると言われたのでセカンドオピニオンを希望で来院。 |
|---|---|
| 治療期間 | 2.5ヶ月で仮歯が入り、 4ヶ月で最終補綴物が入って終了。 |
| 費用 | 約1,500,000円 |
| 治療内容 | エクストラワイドショートインプラントを埋入し、上顎洞を移植材を用いずに挙上しインプラントを埋入した。約2.5ヶ月で仮歯を装着し、様々な機能面に問題がないことを確認し4ヶ月で最終補綴物を装着して終了した。 |
| 治療のリスク | インプラント埋入オペ時に術者が上顎洞内にインプラントを迷入させる可能性がある。これは術者が技術的に熟練していれば防ぐことが可能。 |
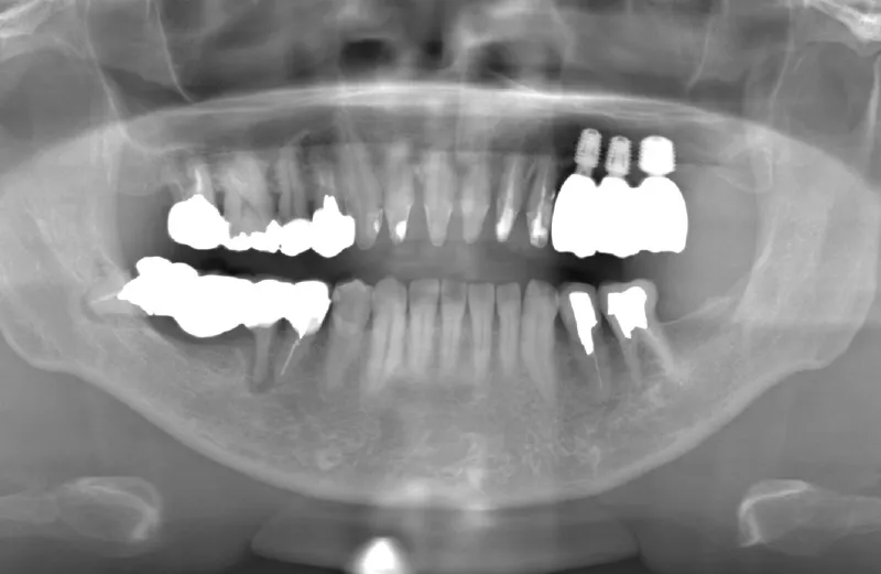
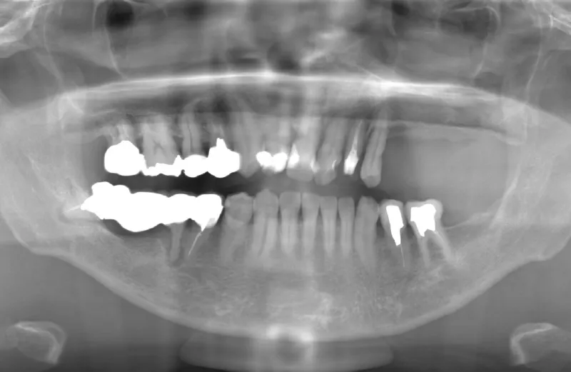
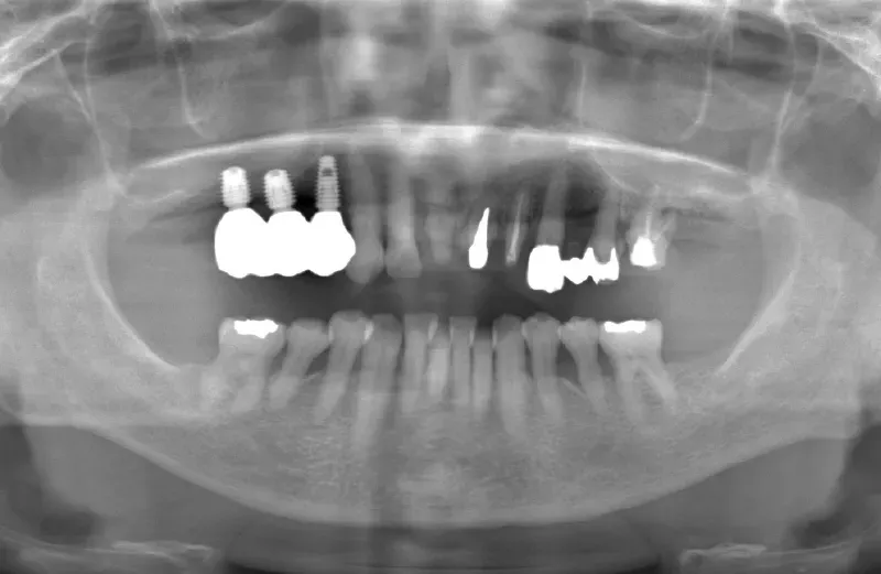
メガジェンオペの症例紹介02
治療前
治療後
| 主訴 | 左上の一番奥歯は他院にてマイクロスコープで治療してもらったが、根の状態が万全ではないのでブリッジでは治療しない方が良いと言われた。 なので左上の歯がないところにインプラントをして欲しい。 |
|---|---|
| 治療期間 | 2ヶ月で仮歯が入り、 3ヶ月で最終補綴物が入って終了。 |
| 費用 | 約550,000円 |
| 治療内容 | エクストラワイドショートインプラントを埋入し、上顎洞を移植材を用いずに挙上しインプラントを埋入した。約2ヶ月で仮歯を装着し、様々な機能面に問題がないことを確認し3ヶ月で最終補綴物を装着して終了した。 |
| 治療のリスク | インプラント埋入オペ時に術者が上顎洞内にインプラントを迷入させる可能性がある。これは術者が技術的に熟練していれば防ぐことが可能。 |
ご予約・ご相談は
お気軽に!
ご予約はWEBまたは
お電話にて承っております。
WEB予約が埋まっていても、
当日受診可能な場合が
ございますので、
お電話ください。





